Goldorange Mehlscheibe - Aleurodiscus aurantius
Autor: (Pers.) J.Schröt.
Trivialnamen Deutsch:
Goldorange Mehlscheibe
Synonyme:
Acanthophysium aurantium (Pers.) G. Cunn. 1963
Acanthophysium aurantium (Pers.) G.Cunn.
Corticium angulatum Britzelm. 1897
Corticium aurantium Pers. 1794
Corticium incarnatum var. aurantia (Pers.) Gillot & Lucand
Corticium marchandii Pat. 1883
Corticium rubi (Lib.) Cooke 1891
Hypochnus marchandii (Pat.) Pat. 1900
Terana aurantia (Pers.) Kuntze 1891
Terana marchandii (Pat.) Kuntze 1891
Thelephora aurantia (Pers.) Pers. 1801
Thelephora aurantia Fr.
Thelephora aurantia var. aurantia (Pers.) Pers. 1801
Thelephora rubi Lib. 1837
Fruchtkörper:
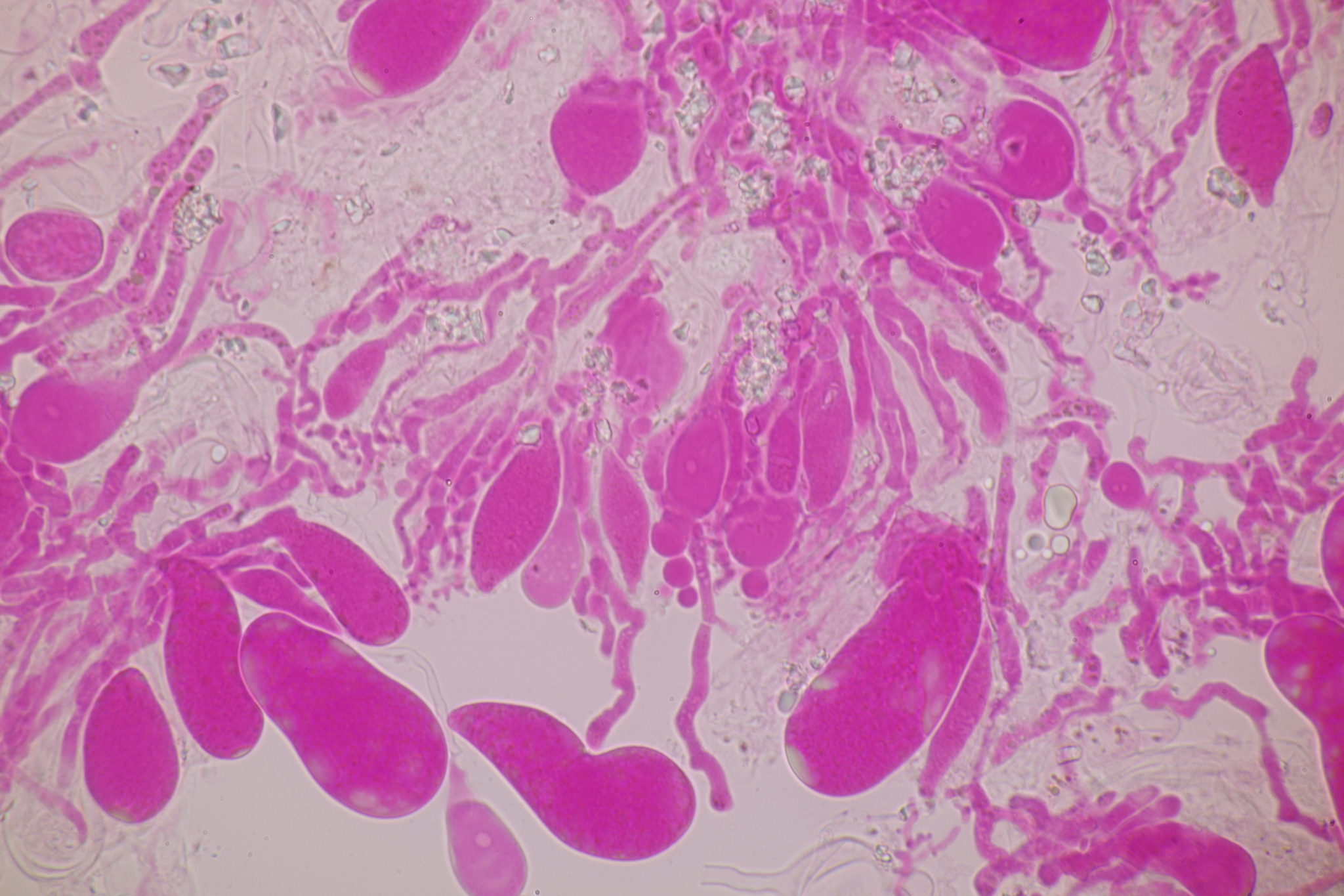
Oberfläche, Hülle: Pilz weit ausgebreitet, mit unregelmässigem, immer deutlichem, schwach weiss-faserigem Rande, dem Substrat fest anliegend, frisch wachsartig bis fleischig, trocken krustenförmig. Hymenium glatt oder stumpf warzig, geschlossen, anfangs hellrosa oder fleischrot. später rötlich-gelb bis hellgelblich, trocken verblassend und rissig werdend, aus Basidien und Pseudophysen bestehend. Basidien keulenförmig, 10—14 µm breit, mit vier starken, pfriemlichen, gebogenen, bis 18 f.i langen, am Grunde 2 /x dicken Sterigmen. Pseudophysen unregelmässig keulenförmig, zum Teil so breit, wie die Basidien, zum Teil weit schmäler, am Scheitel perlschnurartig ausgebildet.
Inneres, Innenmasse:
Basis, Ständer:
Vorkommen: Im Herbst und Frühjahr an Zweigen von Rosa (Rosen)- und Rubusarten (Brombeeren).
Sporen: Sporen ellipsoidisch, 14—18 µm lang, 10—12 f.i breit, stets mit deutlichem Spitzchen, Membran derb, farblos, undeutlich punktiert. Inhalt der Sporen hellrosa. Hyphen undeutlich.
Eingetragen durch: admin
Zuletzt geändert: Fre , 01.Jan 1971
Previous











