: - Hyphoderma tenue
Autor: (Pat.) Donk
Synonyme:
Corticium tenue Pat. 1885
Gloeocystidium tenue (Pat.) Höhn. & Litsch. 1908
Kneiffia tenuis (Pat.) Bres. 1903
Peniophora tenuis (Pat.) Massee 1889
Terana tenuis (Pat.) Kuntze 1891
Synonyme:
Corticium tenue Pat.
Gloeocystidium tenue (Pat.) Höhn. & Litsch.
Kneiffia tenuis (Pat.) Bres.
Peniophora tenuis (Pat.) Massee
Terana tenuis (Pat.) Kuntze
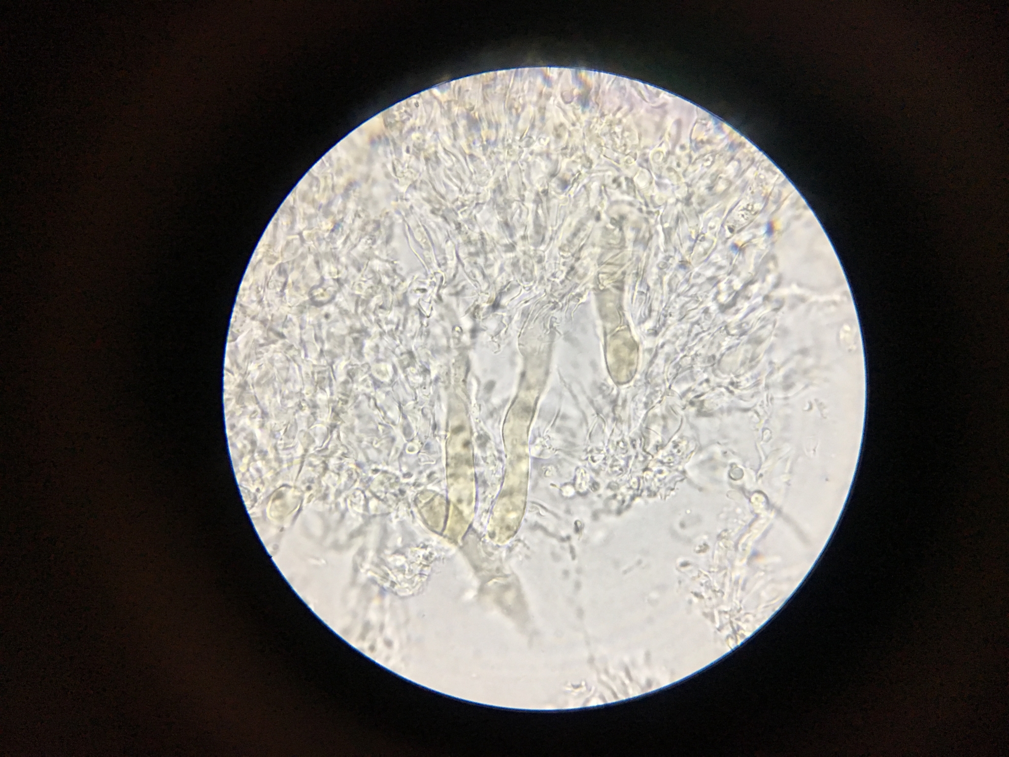
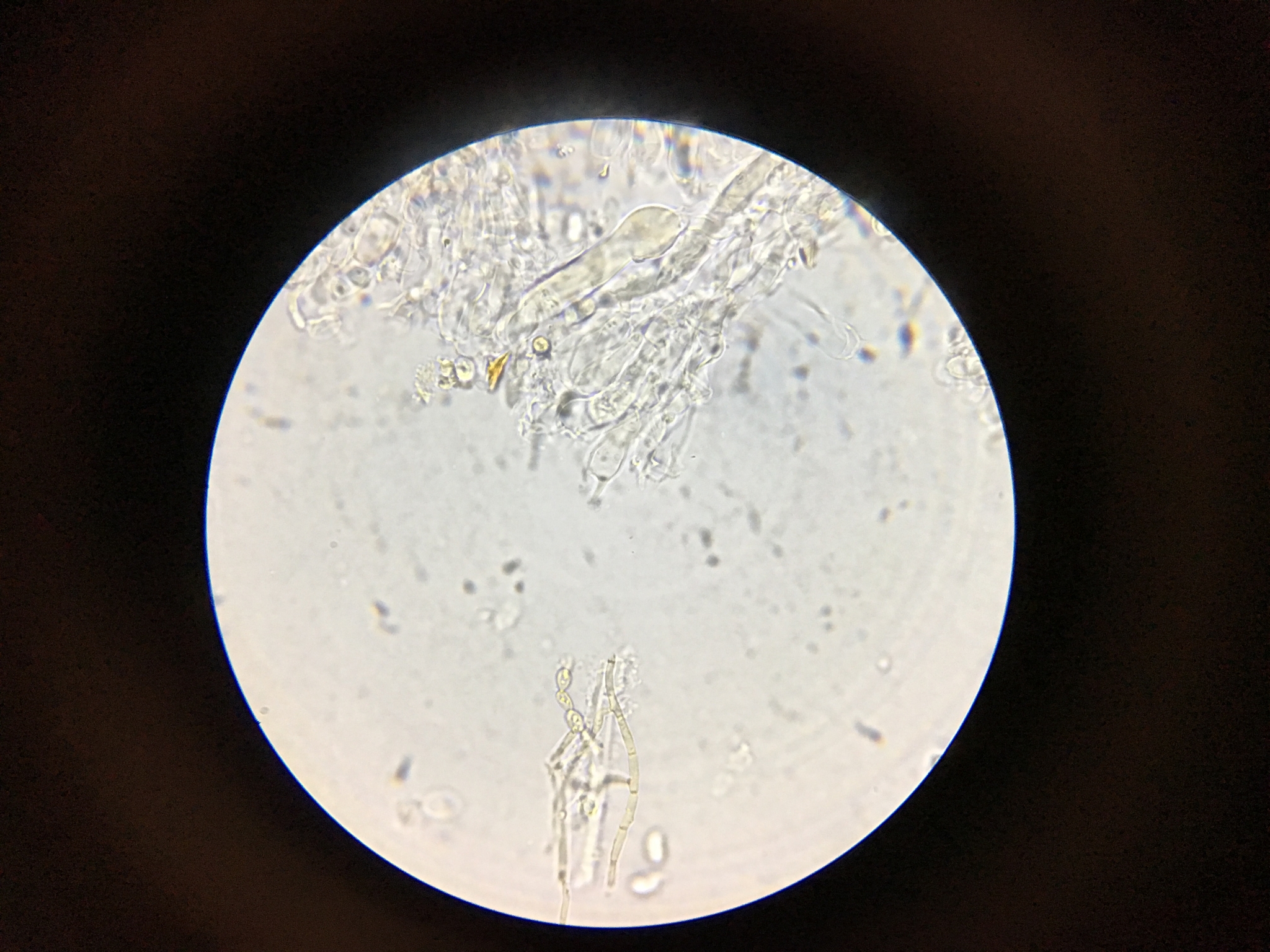
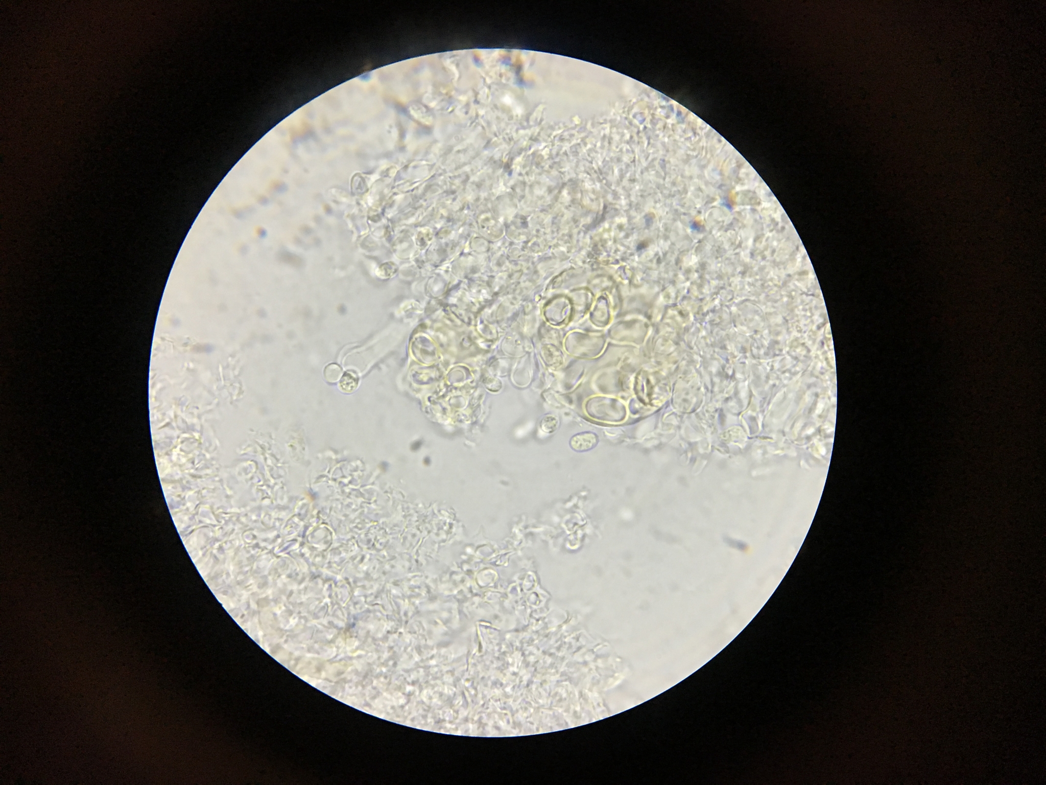
Fruchtkörper: Pilz sehr zart, vergänglich, unbestimmt ausgebreitet, weisslich-grau, etwas bereift. Basidien mit vier Sterigmen.
Oberfläche, Hülle:
Inneres, Innenmasse:
Basis, Ständer:
Vorkommen: An morschem Holz und Rinde von Laub- und Nadelbäumen.
Sporen: Sporen farblos, gebogen, mit kömigem Inhalt, 6 µm lang, 3—4 µm breit. Cystiden lang, zylindrisch, an frischen jungen Exemplaren deutlich als Gloeocystiden erkennbar, später leer und mit einer Kalkoxalatdruse am Scheitel.
Eingetragen durch: admin
Zuletzt geändert: Fre , 01.Jan 1971
Previous











