: - Sporormiella leporina
Autor: (Niessl) S.I.Ahmed & Cain
Synonyme:
Preussia leporina (Niessl) Arx 1973
Sporormia leporina Niessl 1878
Synonyme:
Preussia leporina (Niessl) Arx
Sporormia leporina Niessl
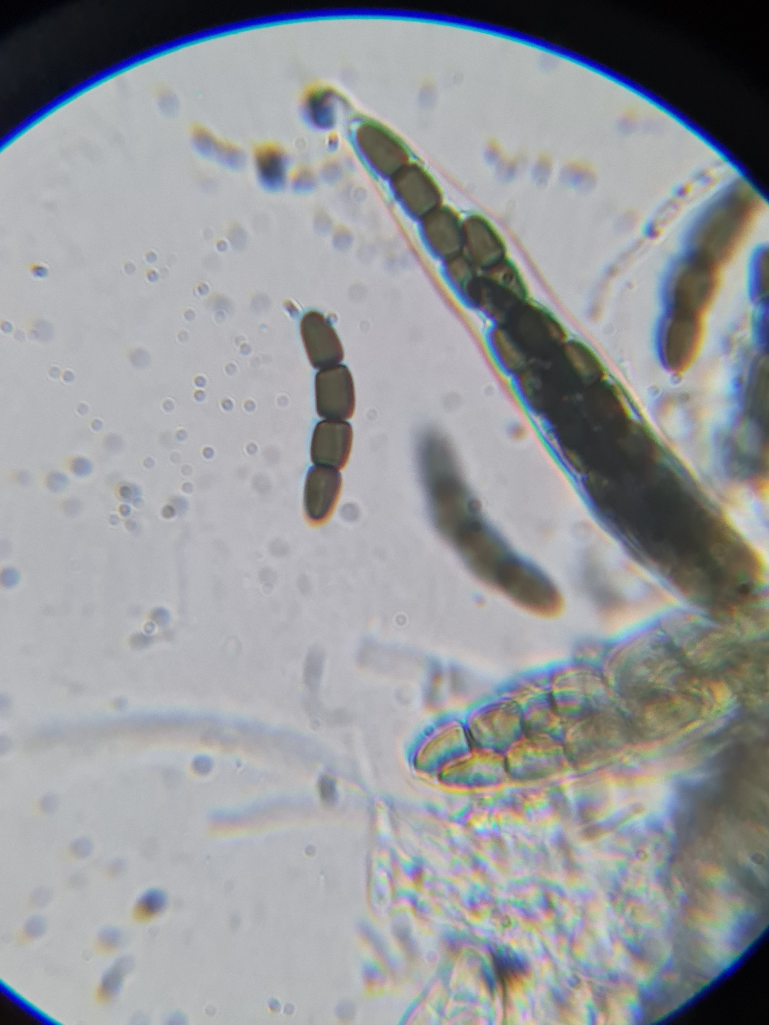
Fruchtkörper: Fruchtkörper gesellig eingesenkt, kugelig, 0,2—0,25 µm breit, mit kegelförmiger oder kurz zylindrischer Mündung. Peridium glatt und kahl, schwarz.
Oberfläche, Hülle:
Inneres, Innenmasse:
Basis, Ständer:
Vorkommen: Auf Hasenmist.
Sporen: Schläuche keulenförmig, in den Stiel verschmälert, 90—120 µm lang, 12—15 µm breit, achtsporig. Sporen zylindrisch, gerade oder schwach gekrümmt, an den Enden etwas verschmälert, abgerundet, 26—30 µm lang, 4—5 µm breit, vierzellig, leicht in die Glieder zerfallend; Membran braun; mit weitem Gallertringe. Paraphysen fadenförmig, verzweigt.
 Eingetragen durch: admin
 Zuletzt geändert: Fre ,  01.Jan 1971
 Previous