Kahle Erdzunge - Geoglossum glabrum
Autor: Pers.
Trivialnamen Deutsch:
Schlanke Erdzunge
Synonyme:
Clavaria ophioglossoides L. 1753
Geoglossum glabrum Fr.
Geoglossum glabrum Pers. 1794
Geoglossum glabrum f. sphagnophilum (Ehrenb.) J.Favre
Geoglossum glabrum var. americanum Mains
Geoglossum glabrum var. angustosporum F.L.Tai
Geoglossum glabrum var. commune Alb. & Schwein.
Geoglossum glabrum var. elongatum Mains
Geoglossum glabrum var. heterosporum Mains
Geoglossum glabrum var. macropus Pers.
Geoglossum glabrum var. sphagnophilum (Ehrenb.) Fr.
Geoglossum glabrum var. uliginosum Pers.
Geoglossum glabrum var. vulgare Pers.
Geoglossum ophioglossoides (L.) Sacc. 1889
Geoglossum ophioglossoides f. uliginosum (Pers.) Sacc.
Geoglossum ophioglossoides var. sphagnophilum (Ehrenb.) Rehm
Geoglossum sphagnophilum Ehrenb.
Geoglossum uliginosum (Pers.) Anon.
Hypoxylon ophioglossoides (L.) Gray 1821
Mitrula glabra (Pers.) P.Karst.
Fruchtkörper: Fruchtkorper gesellig, büschelig oder einzeln stehend, 3—6 cm lang, aufrecht oder leicht gebogen, schwärzlich. Stiel zylindrisch, 1—2 mm breit, glatt oder schwach schuppig, trocken runzelig, Fruchtkeule meist 1—1,5 cm lang, zusammengedrückt, glatt.
Oberfläche, Hülle:
Inneres, Innenmasse:
Basis, Ständer:
Vorkommen: Zwischen Moos und Gras auf Wiesen, an Wegrändern, in Wäldern. Juli bis Oktober.
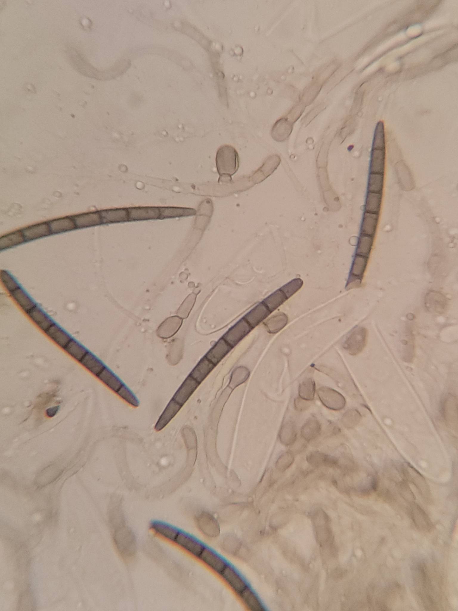
Sporen: Schläuche keulenförmig, sporenführender Teil 100—120 µm lang. 12—15 µm breit. Sporen zylindrisch, 55—80 µm lang, 5—7 µm breit, mit sieben Querscheidewänden. Membran braun. Paraphysen mit Querscheidewändeu, oben mit kettenförmigen, bauchig aufgetriebenen Zellen, die obersten 6—7 µm breit, bräunlich.
Eingetragen durch: admin
Zuletzt geändert: Fre , 01.Jan 1971
Previous











