Previous | Next 
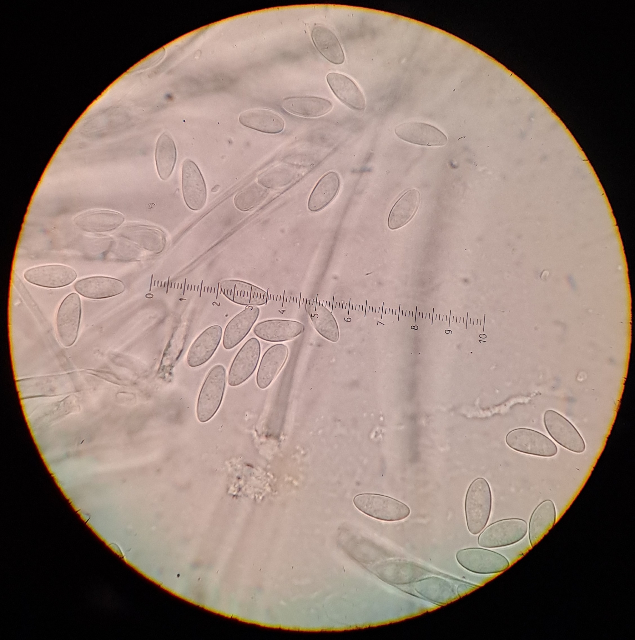
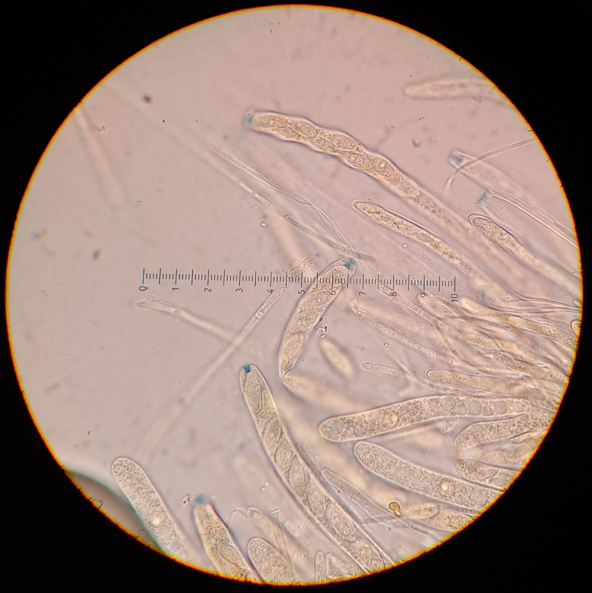
Hasel-Stromabecherling - Ciboria coryli
Kennen Sie schon die Bücher?
Es ist Lesezeit!
Autor: (Schellenb.) N.F.Buchw.
Trivialnamen Deutsch:
Hasel-Stromabecherling
Synonyme:
Sclerotinia coryli Schellenb.
Fruchtkörper:
Oberfläche, Hülle:
Inneres, Innenmasse:
Basis, Ständer:
Vorkommen:
Eingetragen durch: admin
Zuletzt geändert: Fre , 01.Jan 1971
Review It
Rate It
Bookmark It
|
|
|
|
Abmessungen:
Fruchtkörper
Fruchtkörper Form:
Fruchtkörper Konsistenz:
Fruchtkörperoberfläche:
Fruchtkörperfarbe:
Fruchtkörperinneres:
Ständer und Ständerbasis
Basis und Ständer:
Stiel- bzw. Ständeroberfläche:
Stielansatz:
Kopf und Hülle
Falls Fruchtkürper mit Kopf::
Falls Hülle vorhanden:
Vorkommen, Fleisch, Geschmack und Geruch
Vorkommen:
Fleisch:
Geruch:
Geschmack: