Home > Basidiomycota > Agaricomycetes > Polyporales > Phanerochaetaceae > Ceriporia > : Wachsporling
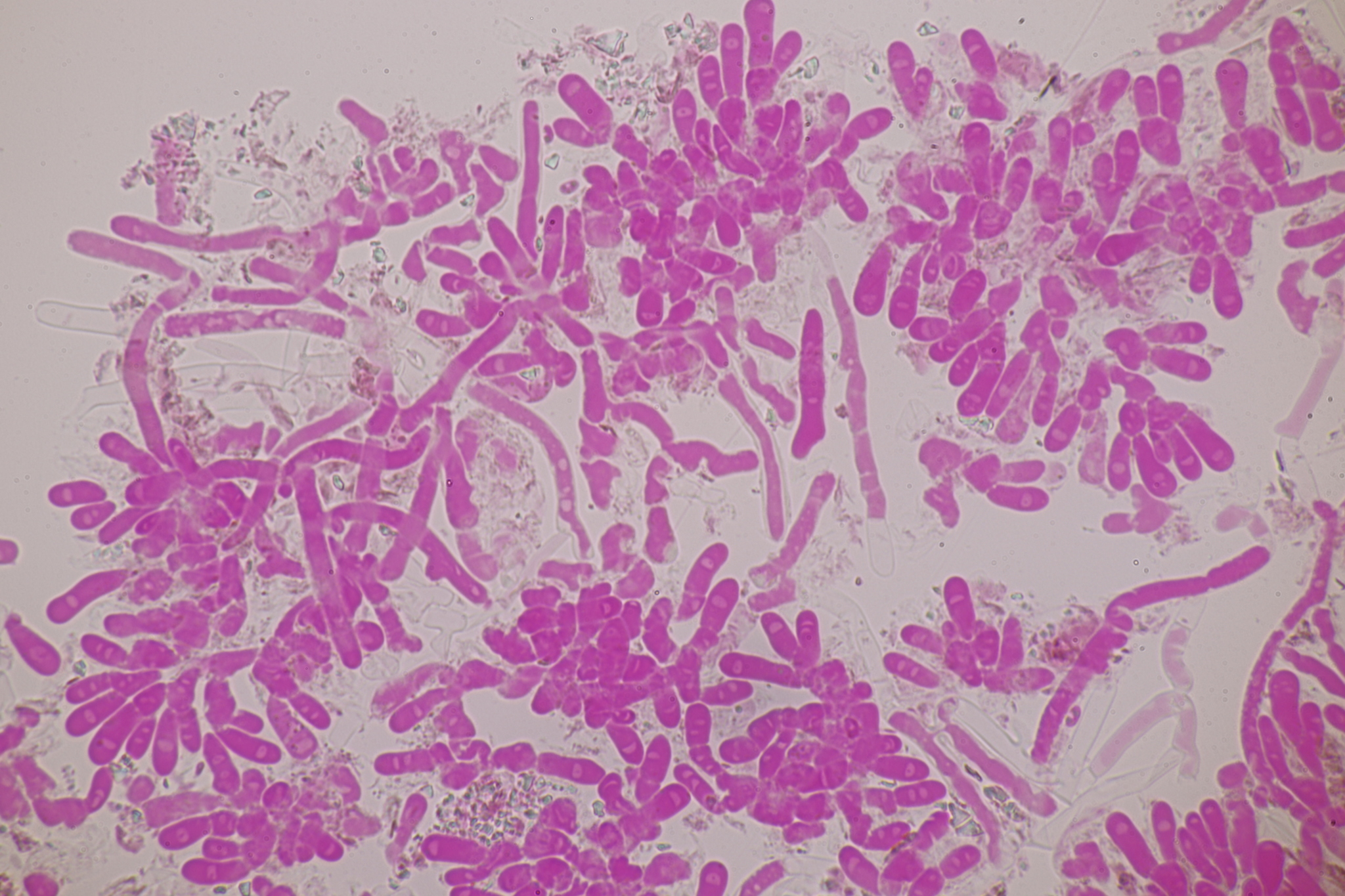
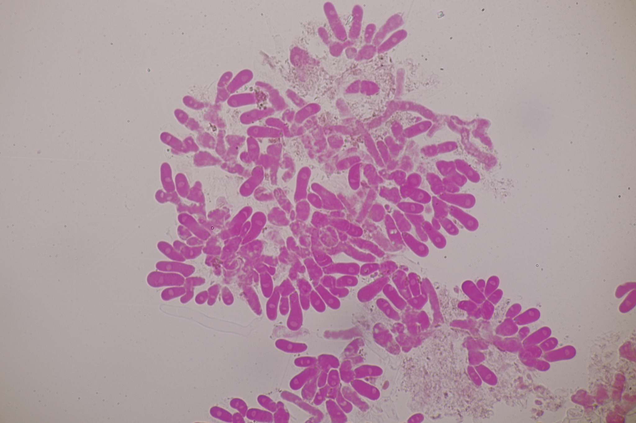
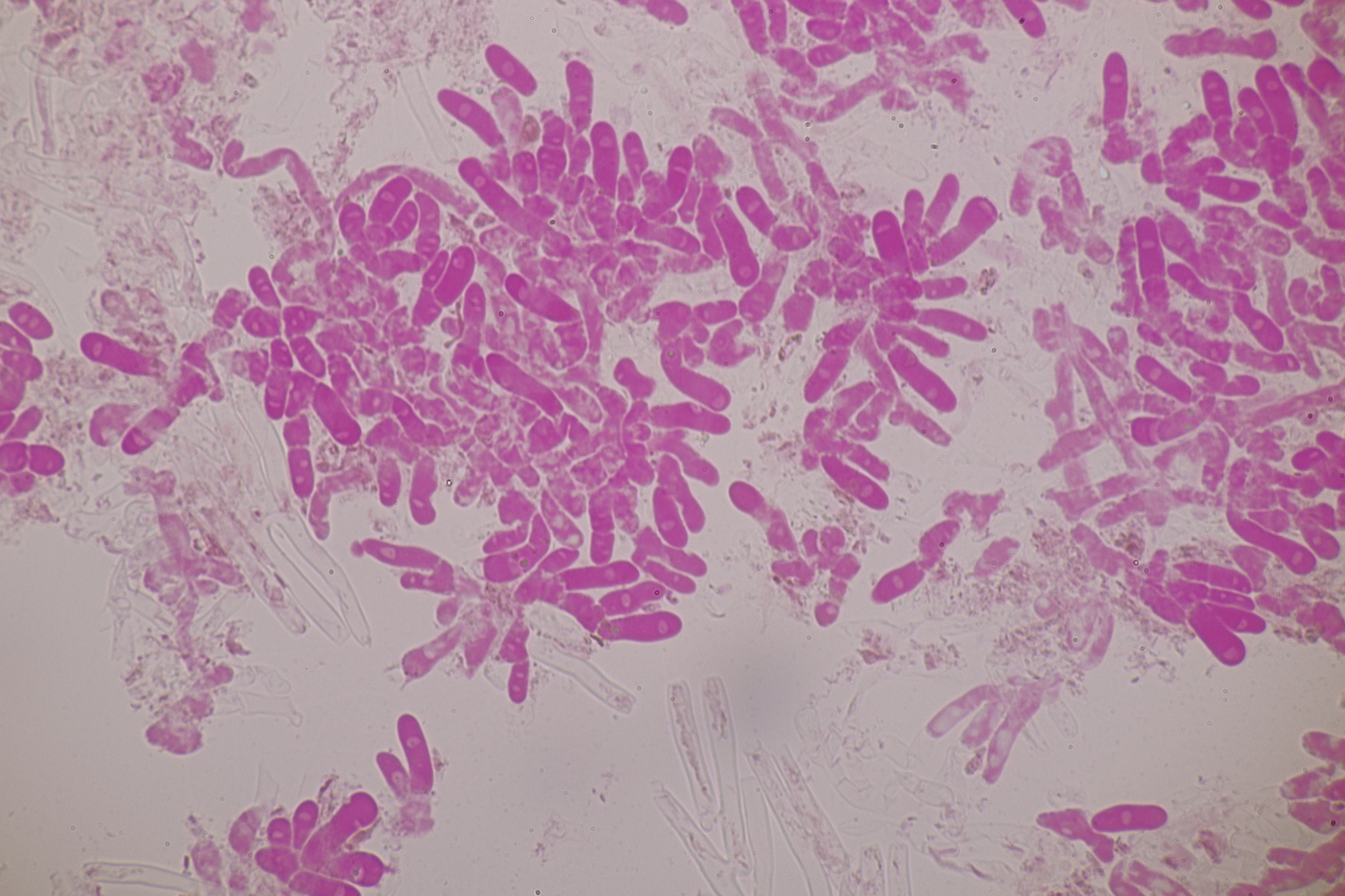
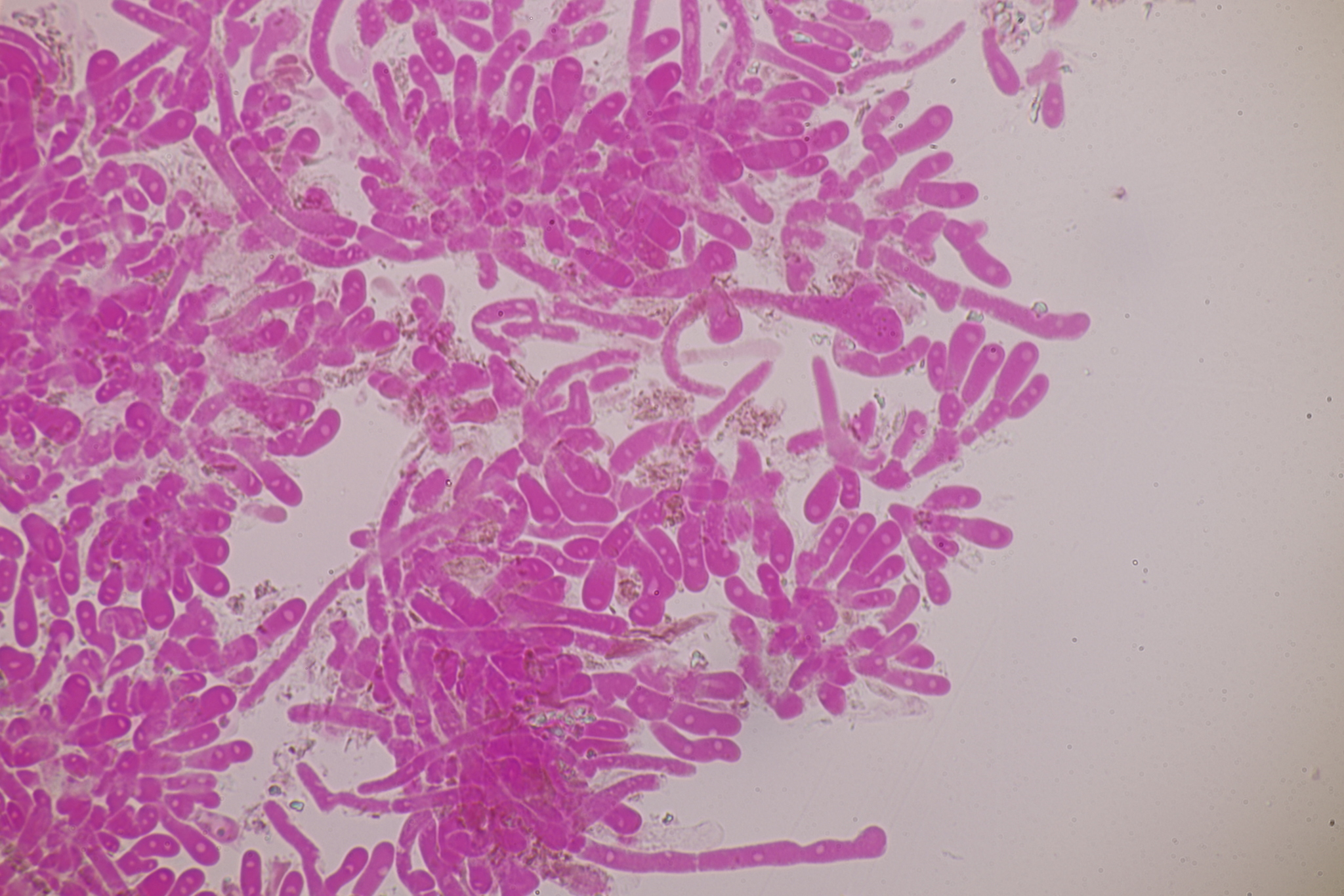
: Wachsporling - Ceriporia excelsa
Autor: (S.Lundell) Parmasto
Synonyme:
Poria rhodella auct.
Poria excelsa S. Lundell 1946
Ceriporia excelsa (S. Lundell) Parmasto 1959
Gloeoporus excelsus (S. Lundell) Zmitr. & Spirin 2006
Synonyme:
Ceriporia viridans var. excelsa (S.Lundell) Krieglst.
Poria excelsa S.Lundell
Fruchtkörper:
Oberfläche, Hülle:
Inneres, Innenmasse:
Basis, Ständer:
Vorkommen:
Eingetragen durch: admin
Zuletzt geändert: Fre , 01.Jan 1971
Previous











