Home > Basidiomycota > Agaricomycetes > Atheliales > Atheliaceae > Athelia > Blätterüberwachsende Gewebehaut
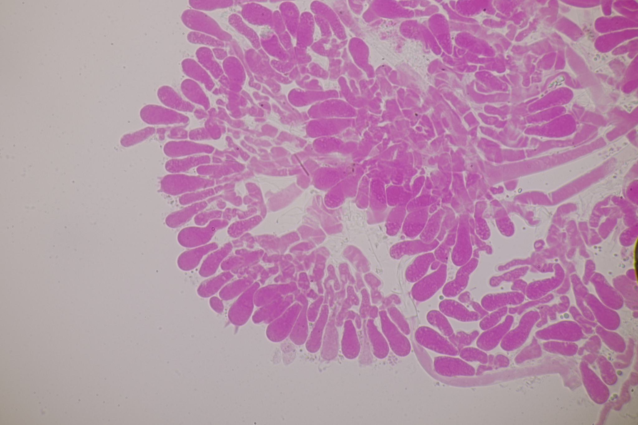
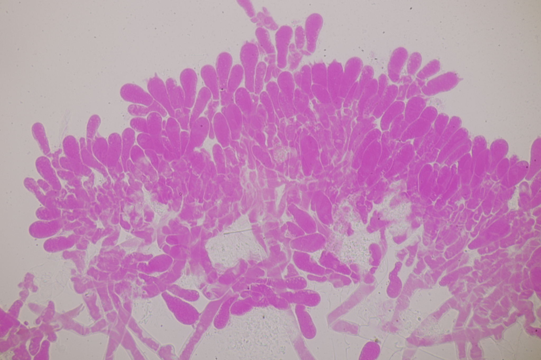
Blätterüberwachsende Gewebehaut - Athelia epiphylla
Bild © (1)
Autor: Pers.
Trivialnamen Deutsch:
Blätterüberwachsende Gewebehaut
Synonyme:
Asterostromella epiphylla (Pers.) Höhn. & Litsch. 1907
Athelia centrifuga Anon.
Athelia epiphylla Pers. 1822
Corticium centrifugum (Lév.) Bres.
Corticium epiphyllum Ravenel 1877
Corticium epiphyllum Sacc.
Corticium epiphyllum var. candidum Sacc.
Corticium epiphyllum var. pusillum Sacc.
Fibularhizoctonia centrifuga (Lév.) G.C.Adams & Kropp
Hypochnus candidus (Sacc.) Sacc.
Hypochnus centrifugus (Lév.) Tul. & C.Tul.
Hypochnus epiphyllus (Pers.) Wallr. 1833
Hypochnus epiphyllus var. candidus Sacc.
Rhizoctonia centrifuga Lév.
Thelephora epiphylla (Pers.) Fr. 1828
Fruchtkörper:
Oberfläche, Hülle:
Inneres, Innenmasse:
Basis, Ständer:
Vorkommen:
Eingetragen durch: admin
Zuletzt geändert: Fre , 01.Jan 1971
Für volle Auflösung bitte auf da Bild klicken:
|
Previous











