: - Pseudotrichia mutabilis
Autor: (Pers.) Wehm.
Synonyme:
Herpotrichia mutabilis (Pers.) G. Winter 1885
Khekia mutabilis (Pers.) Petr. 1940
Lasiella mutabilis (Pers.) Quél.
Lasiosphaeria mutabilis (Pers.) Fuckel 1871
Lophiostoma angustilabrum var. parasiticum (Peck) Chesters & A.E. Bell 1970
Lophiotrema parasiticum Peck
Pleosphaeria mutabilis (Pers.) Sacc. 1883
Sphaeria mutabilis Pers. 1798
Strickeria mutabilis (Quél.) G. Winter 1885
Synonyme:
Strickeria mutabilis (Quél.) G. Winter 1885
Herpotrichia mutabilis (Pers.) G. Winter 1885
Herpotrichia mutabilis (Pers.) G.Winter
Khekia mutabilis (Pers.) Petr.
Lasiella mutabilis (Pers.) Quél.
Lasiosphaeria mutabilis (Pers.) Fuckel
Lasiosphaeria mutabilis var. fuckeliana Sacc.
Lophiostoma angustilabrum var. parasiticum (Peck) Chesters & A.E.Bell
Lophiotrema parasiticum Peck
Sphaeria lathyri Roum.
Sphaeria mutabilis Pers.
Strickeria mutabilis (Pers.) G.Winter
Fruchtkörper: Perithecien zerstreut oder dicht gedrängt, ziemlich gross, fast schwarz, mit Ausnahme der grossen, schwarzen, vorragenden, papillenförmigen Mündung dicht mit anfangs gelbgrünem, dann braunem, zottigem Filz bekleidet, später kahl.
Oberfläche, Hülle:
Inneres, Innenmasse:
Basis, Ständer:
Vorkommen: Auf sehr hartem Eichen- und Buchenholz.
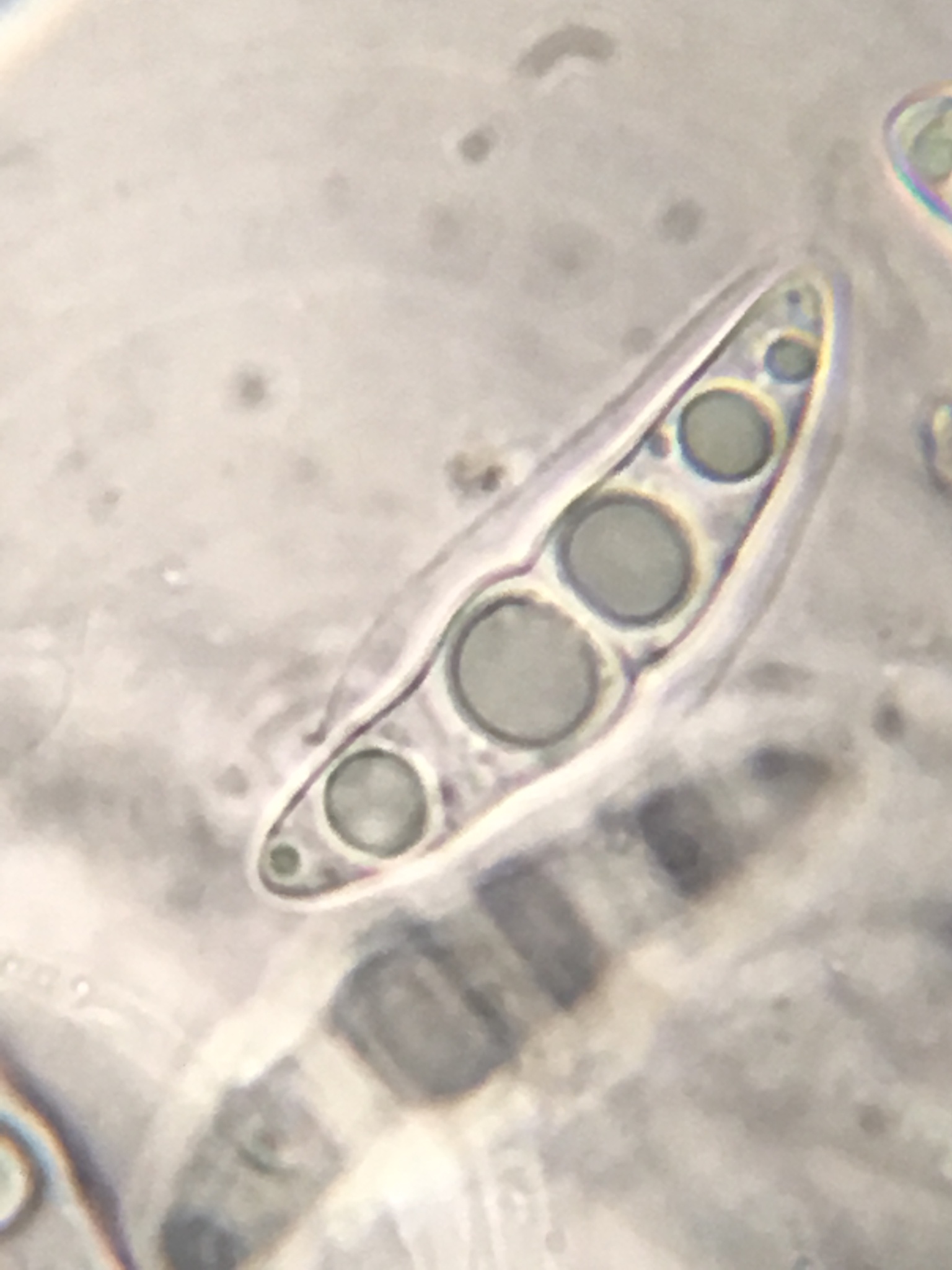
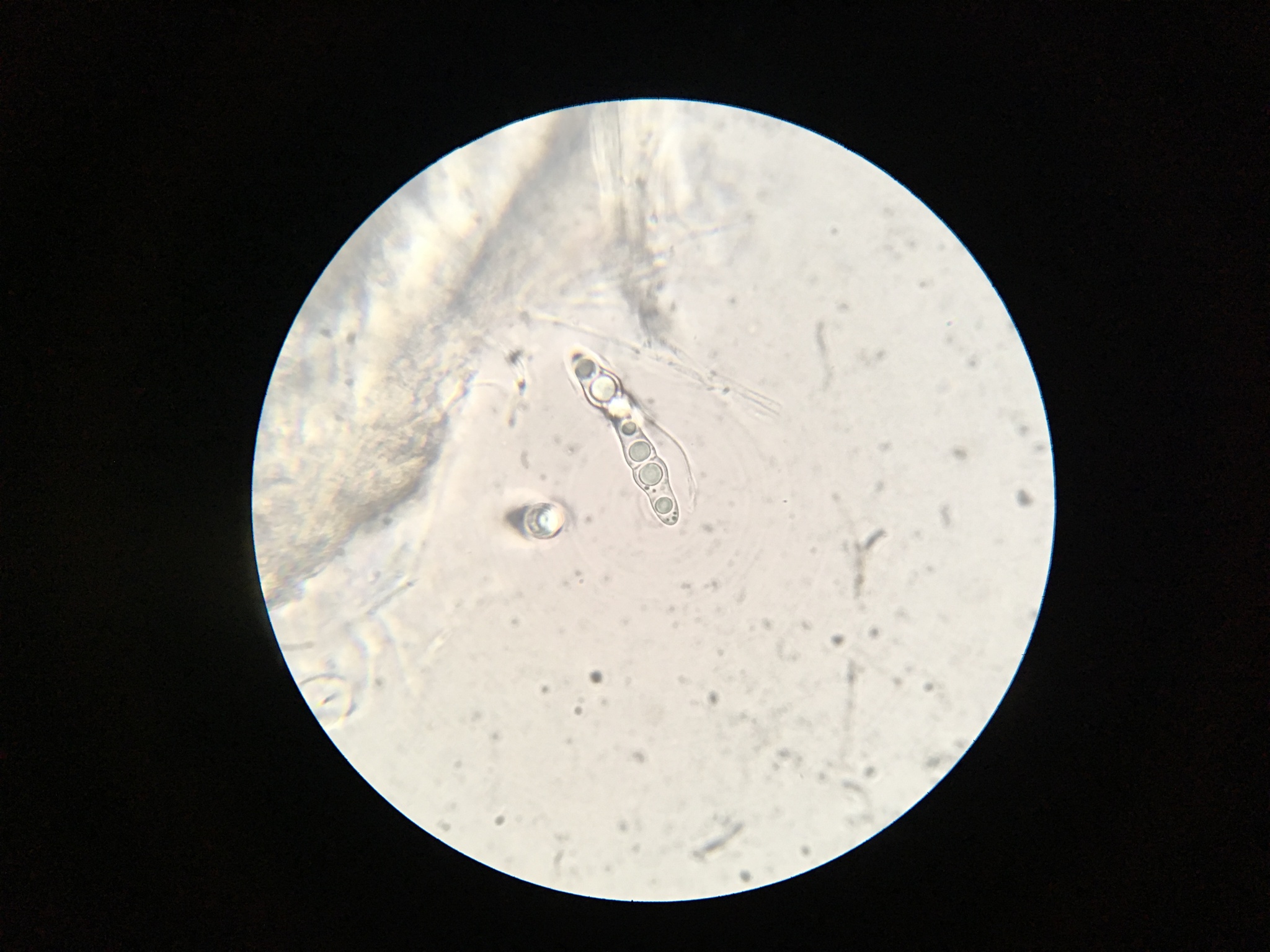
Sporen: Schläuche keulenförmig. Sporen zweireihig, gekrümmt spindelförmig, vierzellig, farblos, 20 µm lang.
Eingetragen durch: admin
Zuletzt geändert: Fre , 01.Jan 1971











