: - Kluyveromyces marxianus
Autor: (E.C.Hansen) Van der Walt
Synonyme:
Saccharomyces marxianus E.C. Hansen 1888
Saccharomyces fragilis A. Jörg. 1909
Zygosaccharomyces marxianus (E.C. Hansen) Guillierm. & Negroni 1929
Dekkeromyces fragilis (A. Jörg.) Santa María & Sánchez Nieto 1970
Kluyveromyces fragilis (A. Jörg.) Van der Walt 1971
Kluyveromyces marxianus (E.C. Hansen) Van der Walt 1971
Dekkeromyces marxianus (E.C. Hansen) E.K. Novák & Zsolt 1961
Fabospora fragilis (A. Jörg.) Kudryavtsev 1958
Guilliermondella fragilis (A. Jörg.) Boidin, Abadie, J.L. Jacob & Pignal 1962
Guilliermondella marxiana (E.C. Hansen) Boidin, Abadie, J.L. Jacob & Pignal 1962
Zygofabospora marxiana (E.C. Hansen) Kudryavtsev 1960
Zygorenospora fragilis (A. Jörg.) Krassiln. 1954
Zygorenospora marxiana (E.C. Hansen) Krassiln. 1954
Kluyveromyces marxianus var. marxianus (E.C. Hansen) Van der Walt 1971
Kluyveromyces marxianus (E.C. Hansen) Van der Walt 1965
Kluyveromyces fragilis (A. Jörg.) Van der Walt 1965
Dekkeromyces fragilis (A. Jörg.) E.K. Novák & Zsolt 1961
Synonyme:
Atelosaccharomyces pseudotropicalis (Castell.) Mello
Blastodendrion macedoniensis (Castell. & Chalm.) Langeron & Guerra
Blastodendrion macedoniensis (Castell. & Chalm.) M.Ota
Blastodendrion procerum Zach
Candida kefyr (Beij.) Uden & H.R.Buckley ex S.A.Mey. & Ahearn
Candida kefyr (Beijerinck) van Uden & Buckley
Candida macedoniensis (Castell. & Chalm.) Berkhout
Candida macedoniensis subsp. macedoniensis
Candida macedoniensis subsp. macedoniensoides (Castell. & Chalm.) Westerd.
Candida macedoniensis var. macedoniensoides (Castell.) Westerd.
Candida mortifera Redaelli
Candida pseudotropicalis (Castell.) Basgal
Candida pseudotropicalis subsp. lactosa (F.C.Harrison) Diddens & Lodder
Candida pseudotropicalis subsp. pseudotropicalis
Candida pseudotropicalis var. lactosa (F.C.Harrison) Diddens & Lodder
Castellania kartulisii (Castell.) C.W.Dodge
Castellania macedoniensis (Castell. & Chalm.) C.W.Dodge
Castellania macedoniensoides (Castell.) C.W.Dodge
Castellania pseudotropicalis (Castell.) C.W.Dodge
Cryptococcus kartulisii Castell.
Cryptococcus kefyr (Beij.) C.E.Skinner
Dekkeromyces bulgaricus (Santa María) Kock.-Krat.
Dekkeromyces cicerisporus (Van der Walt, E.E.Nel & Kerken) Kock.-Krat.
Dekkeromyces fragilis (A.Jörg.) E.K.Novák & Zsolt
Dekkeromyces macedoniensis (Diddens & Lodder) E.K.Novák & Zsolt
Dekkeromyces marxianus (E.C.Hansen) E.K.Novák & Zsolt
Dekkeromyces muciparus (Beij.) Kock.-Krat.
Dekkeromyces wikenii (Van der Walt, E.E.Nel & Kerken) Kock.-Krat.
Endomyces pseudotropicalis Castell.
Fabospora fragilis (A.Jörg.) Kudryavtsev
Fabospora macedoniensis (Diddens & Lodder) Kudryavtsev
Fabospora marxiana (E.C.Hansen) Kudryavtsev
Geotrichoides kefyr (Beij.) Langeron & Talice
Guilliermondella fragilis (A.Jörg.) Boidin, Abadie, J.L.Jacob & Pignal
Guilliermondella marxiana (E.C.Hansen) Boidin, Abadie, J.L.Jacob & Pignal
Hansenula pozolis T.Herrera, Ulloa & C.A.Fuentes
Kluyveromyces bulgaricus (Santa María) Van der Walt
Kluyveromyces cicerisporus Van der Walt, E.E.Nel & Kerken
Kluyveromyces fragilis (A.Jörg.) Van der Walt
Kluyveromyces marxianus subsp. bulgaricus (Santa María) Johannsen & Van der Walt
Kluyveromyces marxianus subsp. marxianus
Kluyveromyces marxianus subsp. wikenii (Van der Walt, E.E.Nel & Kerken) Johannsen & Van der Walt
Kluyveromyces marxianus var. bulgaricus (Santa María) Johannsen & Van der Walt
Kluyveromyces marxianus var. wikenii (Van der Walt, E.E.Nel & Kerken) Johannsen & Van der Walt
Kluyveromyces wikenii Van der Walt, E.E.Nel & Kerken
Monilia macedoniensis Castell. & Chalm.
Monilia macedoniensis subsp. macedoniensoides (Castell. & Chalm.) Castell.
Monilia macedoniensis var. macedoniensoides (Castell.) Castell.
Monilia macedoniensoides Castell.
Monilia mortifera (Redaelli) Nann.
Monilia pseudotropicalis (Castell.) Castell. & Chalm.
Monilia pseudotropicalis var. metapseudotropicalis Castell.
Myceloblastanon kartulisii (Castell.) M.Ota
Myceloblastanon macedoniense (Castell. & Chalm.) M.Ota
Myceloblastanon pseudotropicale (Castell.) M.Ota
Mycocandida mortifera (Redaelli) Langeron & Talice
Mycocandida pinoysimilis subsp. citelliana Redaelli & Cif.
Mycocandida pinoysimilis var. citelliana Redaelli & Cif.
Mycocandida pseudotropicalis (Castell.) Cif. & Redaelli
Mycotorula kefyr (Beij.) F.C.Harrison
Mycotorula lactis Trüper
Mycotorula lactosa F.C.Harrison
Mycotorula macedoniensis (Castell. & Chalm.) Redaelli & Cif.
Mycotorula pseudotropicalis (Castell.) Redaelli & Cif.
Mycotoruloides macedoniensis (Castell. & Chalm.) C.W.Dodge & M.Moore
Pseudomycoderma mazzae C.W.Dodge
Saccharomyces cavernicola Redaelli
Saccharomyces fragilis A.Jörg.
Saccharomyces fragilis subsp. bulgaricus Santa María
Saccharomyces fragilis var. bulgaricus Santa María
Saccharomyces fragrans Beij.
Saccharomyces kefyr Beij.
Saccharomyces macedoniensis Diddens & Lodder
Saccharomyces marxianus E.C.Hansen
Saccharomyces muciparus Beij.
Torulopsis kefyr (Beij.) Lodder
Zygofabospora marxiana (E.C.Hansen) Kudryavtsev
Zygorenospora fragilis (A.Jörg.) Krassiln.
Zygorenospora marxiana (E.C.Hansen) Krassiln.
Zygosaccharomyces marxianus (E.C.Hansen) Guillierm. & Negroni
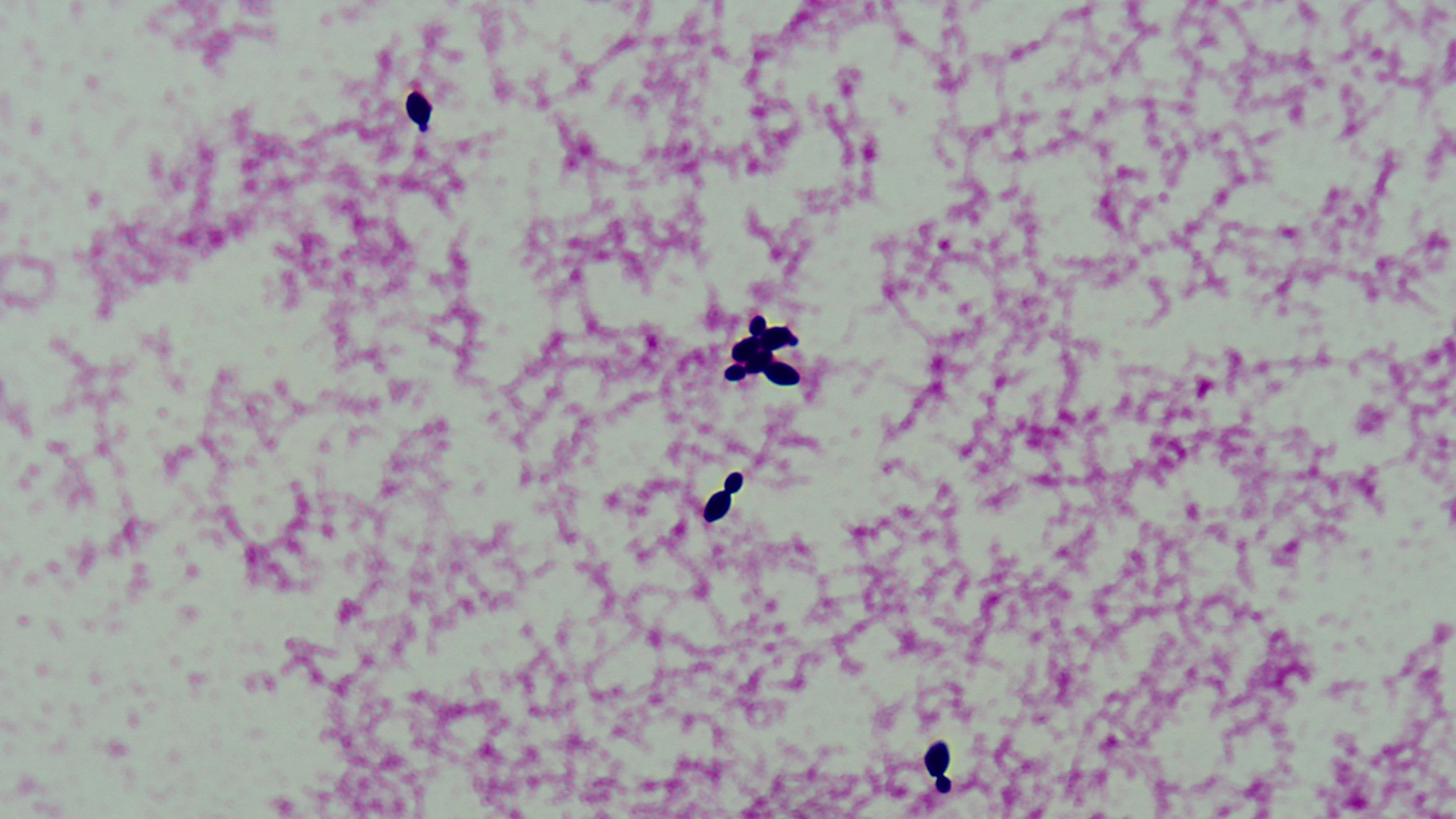
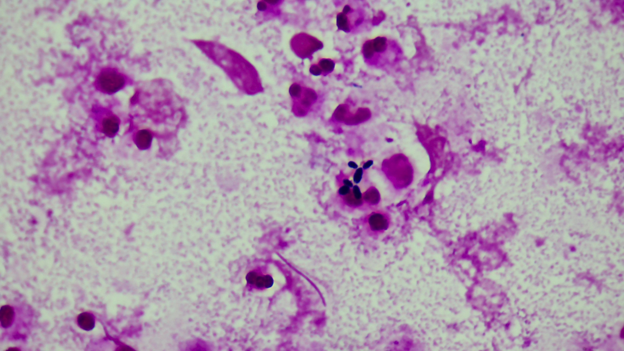
Fruchtkörper: In Bierwürze bildet diese Hefe kleine ellipsoidische bis eiförmige Zellen, dazwischen einzelne zu Kolonien vereinigte längere, die in älteren Kulturen schimmelpilzähnlich werden.
Oberfläche, Hülle:
Inneres, Innenmasse:
Basis, Ständer:
Vorkommen: In Bierwürze, auch auf alten Weinbeeren.
Eingetragen durch: admin
Zuletzt geändert: Fre , 01.Jan 1971

Academy of Natural Sciences of Drexel University (PH)
Lizenz: http://creativecommons.org/publicdomain/zero/1.0/

Academy of Natural Sciences of Drexel University (PH)
Lizenz: http://creativecommons.org/publicdomain/zero/1.0/









