Home > Basidiomycota > Agaricomycetes > Atheliales > Atheliaceae > Luellia > Rosabrauner Schiffchensporrindenpilz
Rosabrauner Schiffchensporrindenpilz - Luellia recondita
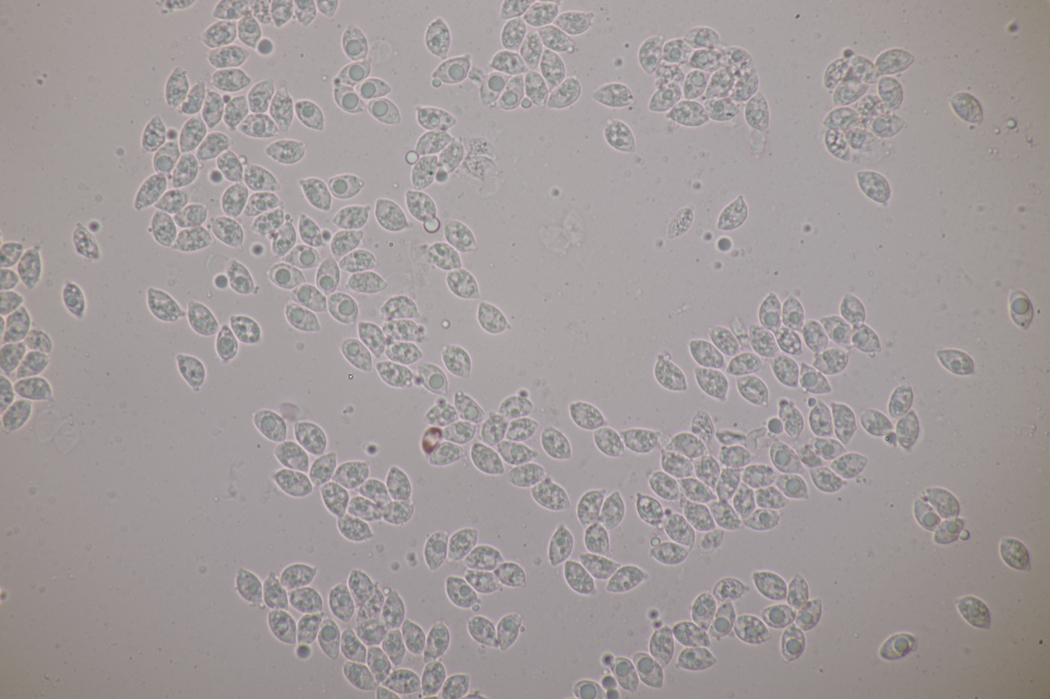
Bild © (1)
Autor: (H.S.Jacks.) K.H.Larss. & Hjortstam
Trivialnamen Deutsch:
Rosabrauner Schiffchensporrindenpilz
Synonyme:
Athelopsis recondita (H.S. Jacks.) Parmasto 1968
Athelopsis recondita (H.S.Jacks.) Parmasto
Corticium reconditum H.S. Jacks. 1948
Corticium reconditum H.S.Jacks.
Corticium spurium f. olivacea Bourdot
Corticium spurium subsp. olivaceum Bourdot & Galzin
Luellia recondita (H.S. Jacks.) K.H. Larss. & Hjortstam 1974
Fruchtkörper:
Oberfläche, Hülle:
Inneres, Innenmasse:
Basis, Ständer:
Vorkommen:
Eingetragen durch: admin
Zuletzt geändert: Fre , 01.Jan 1971
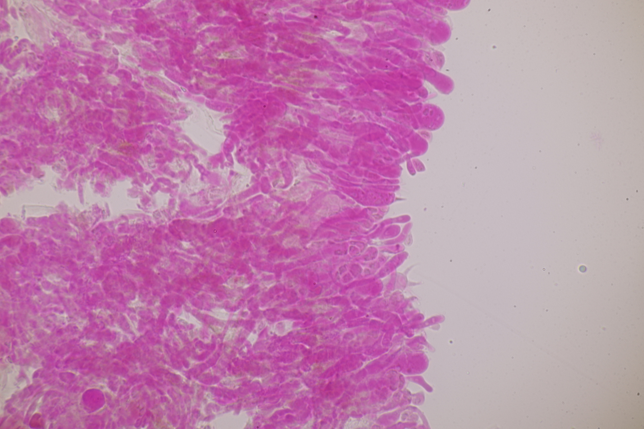
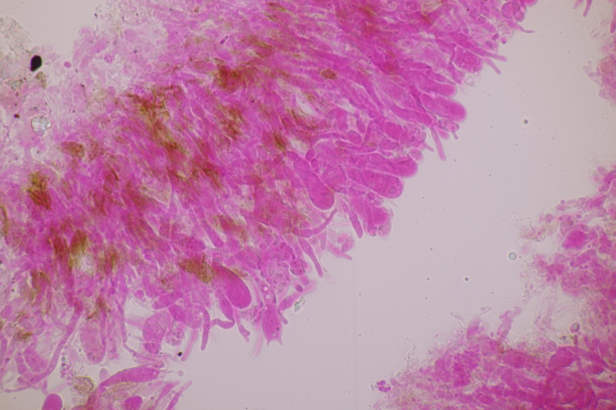
Für volle Auflösung bitte auf da Bild klicken:
|
|
|
Bild 2 © (2) Jens H. Petersen/MycoKey
Bild 3 © (3) Jens H. Petersen/MycoKey
Previous











