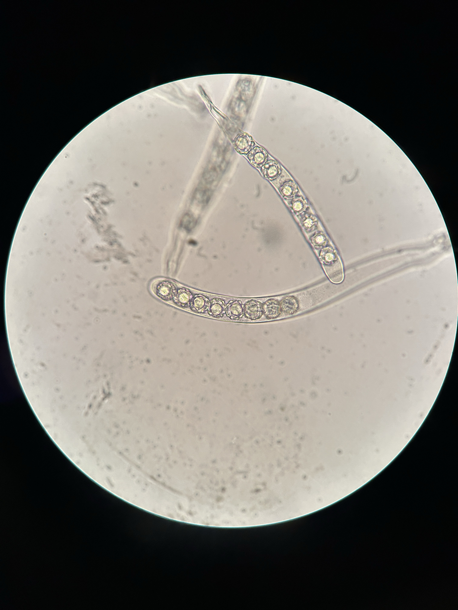
: - Lamprospora dicranellae
Autor: Benkert
Synonyme:
Lamprospora dicranellae Benkert 1987
Octospora dicranellae (Benkert) Yei Z. Wang 1992
Synonyme:
Octospora dicranellae (Benkert) Yei Z.Wang
Fruchtkörper:
Oberfläche, Hülle:
Inneres, Innenmasse:
Basis, Ständer:
Vorkommen:
Eingetragen durch: admin
Zuletzt geändert: Fre , 01.Jan 1971

Cornell University Plant Pathology Herbarium (CUP-)
Lizenz: http://creativecommons.org/publicdomain/zero/1.0/
Previous









