Home > Ascomycota > Leotiomycetes > Helotiales > Helotiaceae > Hymenoscyphus > Wohlgestaltiger Stengelbecherling
Wohlgestaltiger Stengelbecherling - Hymenoscyphus immutabilis
Autor: (Fuckel) Dennis
Trivialnamen Deutsch:
Kleinsporiger Laubblattbecherchen
Wohlgestaltiger Blattstengelbecherling
Wohlgestaltiger Stengelbecherling
Synonyme:
Hymenoscyphus conformatum Karst.
Peziza conformata Karst.
Helotium immutabile Fuckel 1871
Hymenoscyphus immutabilis (Fuckel) Dennis 1964
Pachydisca immutabilis (Fuckel) Boud. 1907
Fruchtkörper: Apothecien einzeln oder gesellig, sitzend, zuerst kugelig geschlossen, rundlich sich öffnend und die schüsseiförmige, flache, endlich etwas gewölbte, zart berandete Fruchtscheibe entblössend, meist ganz kurz und dick gestielt, gelblich oder gelbrötlich, 0,3—3 mm breit, wachsartig weich.
Oberfläche, Hülle:
Inneres, Innenmasse:
Basis, Ständer:
Vorkommen: An faulenden Eichen- und Pappelblättern.
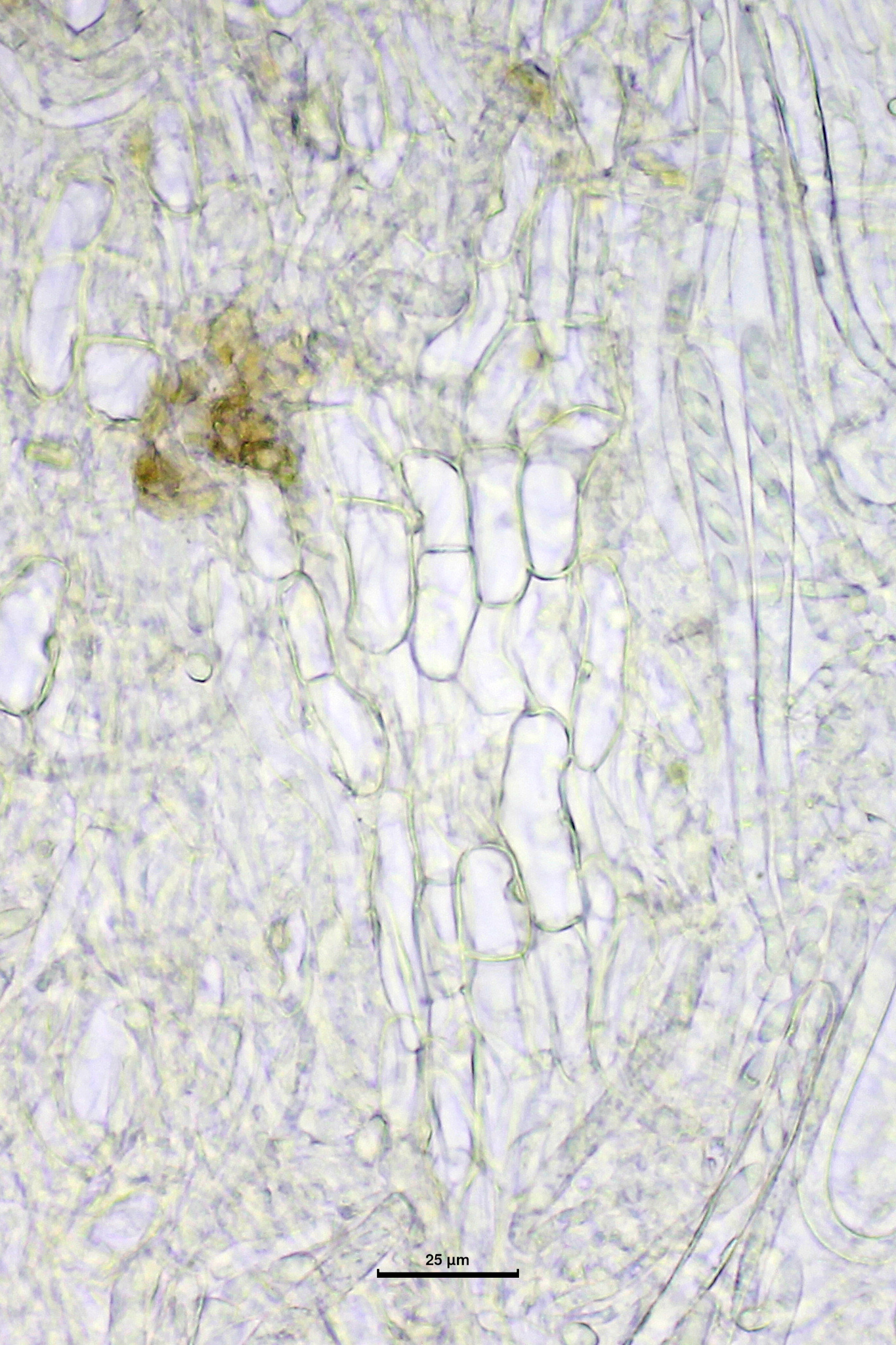
Sporen: Schläuche keulig, oben abgerundet und verdickt, 75—90 µm lang, 6—9 µm breit, achtsporig. Sporen verlängert eiförmig, gerade, einzellig selten mit einem zentralen Öltropfen, farblos, 9—12 (—15) µm lang, 4—6 µm breit, schräge einreihig gelagert. Paraphysen fädig, 2 µm breit, farblos. Gehäuse prosenchymatisch, farblos.
Eingetragen durch: admin
Zuletzt geändert: Fre , 01.Jan 1971
Previous











