Kraushaariges Subiculum-Schwarzkügelchen - Chaetosphaerella phaeostroma
Autor: (Durieu & Mont.) E.Müll. & C.Booth
Trivialnamen Deutsch:
Kraushaariges Subiculum-Schwarzkügelchen
Synonyme:
Brachysporium minus (Link) Sacc. 1886
Byssosphaeria phaeostroma (Durieu & Mont.) Stev.
Chaetosphaerella phaeostroma (Durieu & Mont.) E. Müll. & C. Booth 1972
Chaetosphaeria phaeostroma (Durieu & Mont.) Fuckel 1867
Cladotrichum triseptatum Berk. & Broome 1851
Diplosporium triseptatum (Berk. & Broome) Kuntze
Diplosporium triseptatum (Berk. & Broome) Kunze
Helminthosporium minus Link 1816
Helminthosporium velutinum (Link) Fr.
Helminthosporium velutinum subsp. minus (Link) Fr.
Oedemium minus (Link) S. Hughes 1958
Oedemium minus (Link) S.Hughes
Sphaeria phaeostroma Durieu & Mont. 1846
Sphaeria tristis var. beta Berk.
Sphaeria tristis var. fusca Alb. & Schwein.
Thaxteria phaeostroma (Durieu & Mont.) C. Booth 1958
Thaxteria phaeostroma (Durieu & Mont.) C.Booth
Veramycina elegans Subram.
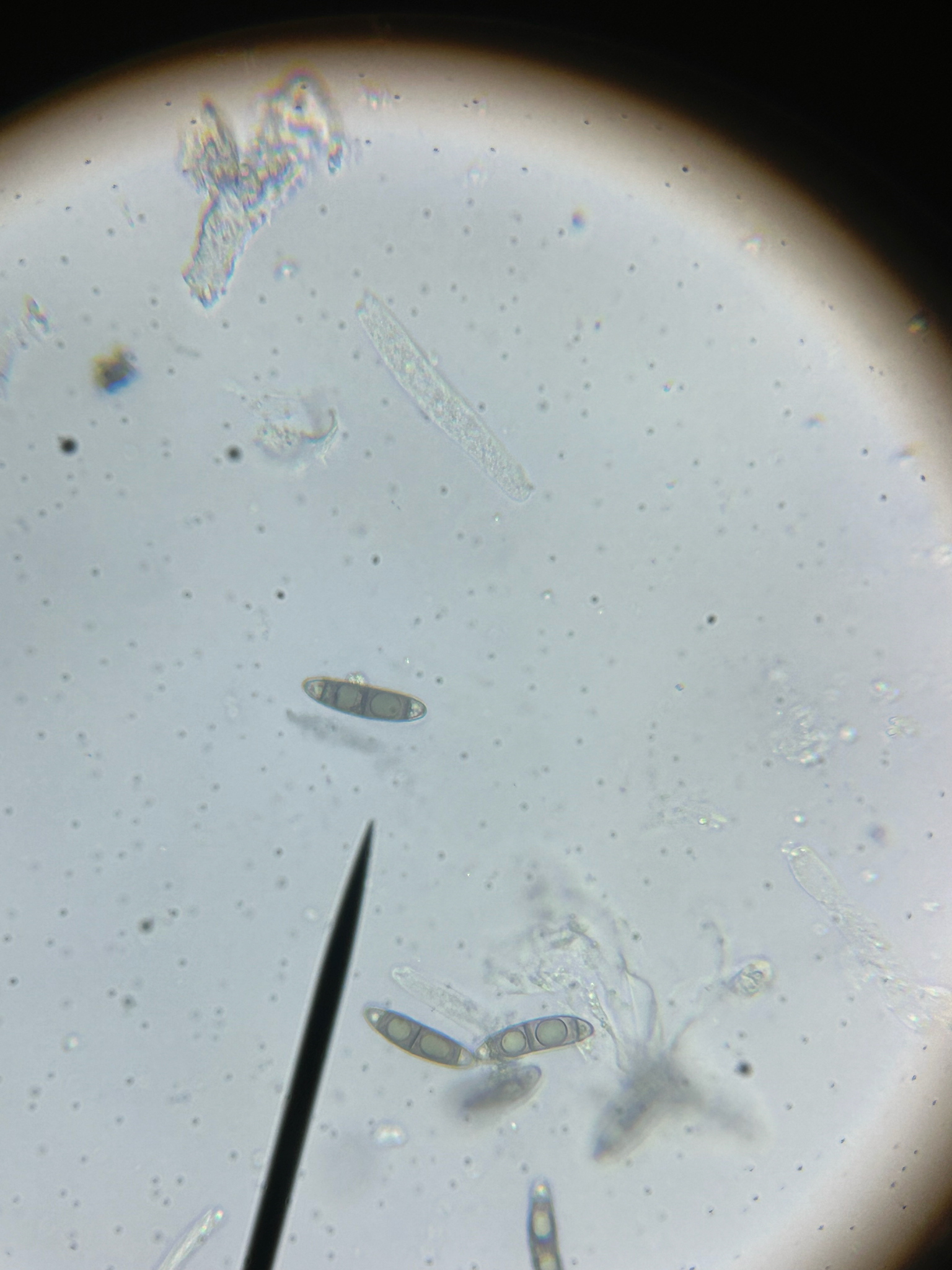
Fruchtkörper:
Oberfläche, Hülle:
Inneres, Innenmasse:
Basis, Ständer:
Vorkommen:
Eingetragen durch: admin
Zuletzt geändert: Fre , 01.Jan 1971
Für volle Auflösung bitte auf da Bild klicken:
|
Previous











